Estudios originales
← vista completaPublicado el 16 de enero de 2026 | http://doi.org/10.5867/medwave.2026.01.3153
Frecuencia de paniculitis mesentérica en población oncológica: estudio multicéntrico comparativo con grupo control
Frequency of mesenteric panniculitis in an oncologic population: A multicenter comparative study with a control group
Resumen
Introducción La paniculitis mesentérica es una entidad benigna poco frecuente que afecta al mesenterio, muchas veces detectada incidentalmente en un examen de imagen. Su asociación con cáncer es un tema controversial. El objetivo del presente estudio fue determinar la frecuencia de paniculitis mesentérica en población oncológica conocida y compararla con la de una población control.
Métodos Este es un estudio transversal retrospectivo comparativo con un grupo control. Se seleccionó a pacientes referidos para realizar una tomografía por emisión de positrones/ tomografía computarizada (PET/CT) de estadificación por cáncer recientemente diagnosticado, que no hubieran sido tratados y sin antecedentes de otro cáncer previo. Dicho “grupo oncológico” se separó según tipo de cáncer. En el “grupo control” se incluyó a pacientes referidos para realizar tomografía computarizada abdominal y/o de cuerpo completo por politraumatismo. Aquellos pacientes “controles” con historia de cáncer fueron excluidos. En ambos se revisaron las imágenes en busca de paniculitis mesentérica.
Resultados Del grupo oncológico (1911 pacientes), el 5,2% presentó paniculitis mesentérica. Los tipos de cáncer con mayor frecuencia de paniculitis mesentérica fueron linfoma no Hodgkin (16,1%) y cáncer de próstata (12,8%), seguido por mieloma múltiple (6,9%), carcinoma urotelial 6,2%), cáncer de cabeza y cuello (5,3%), y cáncer de páncreas (5,2%). El linfoma de Hodgkin y cánceres exclusivos de la mujer (mama, cérvix, útero, ovario) presentaron baja frecuencia de paniculitis mesentérica, similar a la población control. Su frecuencia en población control (1056 individuos) fue 0,6%. El de población oncológica versus control para la exposición a paniculitis mesentérica fue 9,6 (intervalo de confianza de 95%: 4,2249 a 22,1015; p < 0,0001).
Conclusiones La frecuencia de paniculitis mesentérica depende del tipo de cáncer. Es alta en linfoma no Hodgkin y cáncer de próstata, pero baja y similar a la de la población control en otras neoplasias.
Ideas clave
- La paniculitis mesentérica es un hallazgo imagenológico poco frecuente, y algunas publicaciones la han asociado con mayor probabilidad de tener cáncer, aunque otras no han encontrado asociación con neoplasia.
- Este estudio incorpora como grupo control a pacientes que se realizaron tomografías computarizadas por traumatismos en ausencia de neoplasia antigua tratada o reciente en tratamiento, lo que constituye una ventaja de nuestra investigación respecto a otras publicaciones sobre el tema.
- Son limitaciones de este trabajo su carácter retrospectivo, propio de los estudios transversales; el potencial sesgo diagnóstico que implica que los evaluadores conozcan la naturaleza oncológica o no de la población, antes de evaluar la existencia de paniculitis mesentérica; y un potencial sesgo de selección en el grupo oncológico.
Introducción
La paniculitis mesentérica es una entidad infrecuente de diagnóstico eminentemente radiológico, relativamente poco conocida en la práctica clínica [1]. Consiste en un aumento de la densidad de la grasa mesentérica asociada a efecto de masa sobre las estructuras vecinas, generalmente con presencia de ganglios pequeños, y una pseudocápsula periférica [1,2]. Suele ser un hallazgo incidental en tomografías computarizadas u otros exámenes de imagen abdominales (ecografía, resonancia magnética) referidos para estudio de diversos cuadros clínicos [1]. Por definición es una entidad benigna, que puede ser de causa idiopática, o estar asociada a cuadros inflamatorios [3] o a procesos neoplásicos [1]. Su manifestación clínica más frecuente es el dolor abdominal [1,4,5,6,7].
La prevalencia de paniculitis mesentérica en la población general parece ser cercana al 0,6% [6,8], si consideramos estudios que utilizan muestras representativas o cercanas a una población control o “normal”. Sin embargo, existen numerosas publicaciones que describen una frecuencia mayor, cuyos rangos altos alcanzan hasta el 6,9% [9,10,11]. Estas diferencias se podrían explicar por diversos sesgos al momento de elegir a la población en estudio. Uno de los más obvios es buscar entre las tomografías computarizadas realizadas en la práctica clínica, lo que incluye por supuesto exámenes efectuados a pacientes “enfermos”, que consultan por alguna patología que puede incluir dolor abdominal, estados inflamatorios, cirugías recientes, o existencia concomitante de algún cáncer.
Por otro lado, la frecuencia de paniculitis mesentérica en población oncológica parece fluctuar entre 5,4 y 10,3% [10,11]. En una casuística publicada recientemente por nuestro grupo obtuvimos un 5,3% de prevalencia de esta patología en población oncológica recientemente diagnosticada [12].
Aunque parece ser que la frecuencia observada de paniculitis mesentérica es mayor en población oncológica que en individuos sin antecedentes de neoplasia, la asociación directa entre esta y cáncer continúa siendo un tema controversial [1,13]. Daskalogiannaki et al reportan que 69% de los individuos con paniculitis mesentérica detectada por tomografía computarizada presentaron un cáncer concomitante [6]. Un estudio de seguimiento de van Putte-Katier reporta que 48% de los pacientes con dicha enfermedad tenían un cáncer coexistente, y que 14% extra lo desarrollaron en un seguimiento a cinco años [7]. Similarmente, Buchwald et al encontraron cáncer en 43% de los pacientes con paniculitis mesentérica [14]. Sin embargo, también hay suficiente casuística que no obtiene diferencias significativas en la prevalencia de cáncer entre pacientes con y sin paniculitis mesentérica [8,9,15].
Las significativas diferencias en los resultados entre estos estudios podrían explicarse en parte por los sesgos en la obtención de la muestra. En algunas casuísticas, la población control incluye a pacientes sintomáticos que acuden a un centro de salud a realizarse una tomografía computarizada o incluso pacientes hospitalizados por cuadros inflamatorios o neoplásicos. Por otro lado, la mayoría de los estudios pretenden demostrar o descartar la presencia de cáncer en pacientes con paniculitis mesentérica, lo que sin duda requeriría un acabado estudio de laboratorio, imágenes y procedimientos invasivos (endoscopia, biopsias), ausentes en la metodología de la mayoría de las publicaciones. Algunos autores, en su intento de unificar la información en un metaanálisis, solo han podido concluir que los estudios son demasiado heterogéneos para poder unificarlos y obtener información certera, deduciendo que no hay ninguno que pruebe fehacientemente la asociación entre cáncer y paniculitis mesentérica [16,17] (pero tampoco han demostrado lo contrario). Por lo demás, la gran mayoría de los estudios no incluyen una población control comparativa. Esta es una importante limitación si se quiere establecer una asociación de paniculitis mesentérica con cualquier otra condición médica. Esta limitación se extiende a nuestra publicación previa [12], por lo que quisimos ahora agregar un grupo control comparativo, además de aumentar el grupo oncológico. Ello permitió ampliar la muestra a casi el doble.
El objetivo de este estudio fue determinar la frecuencia de paniculitis mesentérica en población oncológica y compararla con una población control sin cáncer. Con esto se busca establecer si algún tipo de cáncer se asocia más a paniculitis mesentérica que otro. Quisimos además dilucidar si la existencia de hipercaptación de fluorodesoxiglucosa F-18 (FDG) visible a la tomografía por emisión de positrones/tomografía computarizada (PET/CT) en la paniculitis mesentérica, se vinculaba o no a algún tipo específico de cáncer.
Métodos
Se trata de un estudio transversal retrospectivo multicéntrico con grupo control comparativo. En él cotejamos la frecuencia de paniculitis mesentérica en una población oncológica recientemente diagnosticada, constituida por grupos con distintos tipos de cáncer confirmado histológicamente, y una población control sin cáncer.
Pacientes oncológicos
Desde la base de datos de PET/CT de Clínica Las Condes (Centro 1), se seleccionó retrospectivamente a las tomografías por emisión de positrones/tomografías computarizadas realizadas a pacientes con cáncer enviados para estudio de estadificación. La muestra contempló el período entre los años 2008 y 2023, tanto de población pediátrica como adulta.
Al momento de realizarlas se contó con los antecedentes clínicos, historia médica e histología de todos los pacientes. Estos datos se registraron en el reporte del examen y en documentos anexos, los que fueron revisados retrospectivamente en todos los casos. Solo se consideró a aquellos pacientes con diagnostico histológico confirmado y que no habían recibido tratamiento de su patología de base, es decir sin cirugía, radioterapia, quimioterapia ni inmunoterapia. Aquellos pacientes con historia de cáncer previo, o de tumores malignos sincrónicos o metacrónicos fueron excluidos.
Todos los pacientes incluidos tenían estudio histológico compatible con cáncer. Los casos de histología compleja fueron consensuados entre dos patólogos expertos, y paralelamente enviados a un centro de referencia para su análisis histopatológico (CDM Fletcher, MD, Brigham and Women´s Hospital).
Las tomografías por emisión de positrones/tomografías computarizadas más las de cuerpo entero contrastadas se realizaron utilizando equipo GE Discovery ST 16 canales o GE Discovery MI 64 canales, previa inyección endovenosa del radiotrazador, que correspondieron a F18-FDG (0,1-0,14 mCi/Kg), Ga68-PSMA ó F18-PSMA, o Ga68-DOTATATE, según el diagnóstico de referencia. Luego de la adquisición de las PET/CT, se efectuó una tomografía computarizada de cuerpo completo (cerebro, cuello, tórax, abdomen y pelvis) con contraste iodado endovenoso a todos los pacientes, con fase venosa en todo el cuerpo y fase arterial en abdomen.
Todas las tomografías computarizadas de cuerpo completo contrastadas fueron revisadas por dos radiólogos especialistas en imágenes oncológicas y un médico nuclear de amplia experiencia, en busca de paniculitis mesentérica. Esta se definió de manera consensuada según los siguientes criterios imagenológicos [1,2]:
-
Aumento de densidad del tejido adiposo en la raíz del mesenterio.
-
Aumento de volumen del tejido adiposo mesentérico con efecto de masa sobre estructuras adyacentes.
-
Existencia de pequeños nódulos o linfonodos mesentéricos.
La pseudocápsula densa o signo del halo, aunque estuvo presente en gran parte de los casos, no fue una condición para la inclusión en este estudio.
La frecuencia de la paniculitis mesentérica fue estimada según el tipo de cáncer.
Un tercer radiólogo subespecialista en el área de abdomen/pelvis, revisó todos los casos con paniculitis mesentérica, y un grupo de casos dudosos. Estos últimos fueron consensuados entre los tres observadores, llegando a un acuerdo.
Se cuantificó la intensidad de captación de radiotrazador de los nódulos de la paniculitis mesentérica y del hígado, solo en los estudios realizados con F18-FDG, utilizándose para este efecto el índice de captación estandarizado máximo (Standardized Uptake Value Maximum, SUVmax). Se consideró que la paniculitis mesentérica era “hipercaptante” si presentaba SUVmax igual o superior al del hígado.
En los estudios realizados con radiotrazadores distintos a F18-FDG no se realizó comparación con la captación del hígado, dado la alta variabilidad en la captación hepática según el tipo de radiotrazador utilizado (Ga68-PSMA, F18-PSMA, Ga60-DOTATATE). Por este motivo se efectuó solo una evaluación visual de la captación de la paniculitis mesentérica, sin cálculo de SUVmax.
Grupo control
Para la selección del grupo control se revisaron todas las tomografías computarizadas realizadas a pacientes derivados por traumatismo o politraumatismo en el Hospital San Juan de Dios (Centro 2), entre los años 2016 y 2023. Estos pacientes suelen ser sometidos a una variedad de tomografías computarizadas en busca de lesiones traumáticas del tronco o extremidades. Se revisó retrospectivamente las tomografías computarizadas abdomino-pelvianos en busca de paniculitis mesentérica, y las de cerebro, cuello y tórax en busca de tumores o cáncer incidental.
Se excluyeron aquellos pacientes con antecedentes de cáncer tratado, aquellos con cáncer en tratamiento, y aquellos en que las imágenes al momento del trauma mostraban tumores o lesiones dudosas de cáncer. Aquellos pacientes con hallazgos compatibles con paniculitis mesentérica fueron particularmente investigados en busca de dichos antecedentes, revisando la ficha clínica de la institución. En consecuencia, fueron excluidos del estudio aquellos con historia de cáncer y cirugías recientes.
Las tomografías computarizadas se realizaron utilizando equipo Siemens Somaton Definition AS 64. En todos los exámenes se inyectó medio de contraste iodado endovenoso.
Las tomografías computarizadas de cerebro, cuello, tórax, abdomen y pelvis fueron revisadas por dos observadores entrenados en busca de paniculitis mesentérica, registrando los casos con signos de esta patología según los mismos criterios empleados para el grupo oncológico. Aquellos casos positivos y dudosos fueron revisados por dos radiólogos subespecialistas expertos, y por un tercer radiólogo subespecialista en el área de abdomen/pelvis, consensuando los resultados.
Se estimó la frecuencia de paniculitis mesentérica en el grupo total de pacientes. Debido a que el grupo control era menos numeroso, y significativamente más joven y masculino que el grupo oncológico, no se pudo efectuar análisis pareado con el grupo oncológico.
Análisis estadístico
La frecuencia de paniculitis mesentérica se calculó para cada grupo y se expresó en porcentaje. Para la comparación de frecuencia de paniculitis mesentérica entre el grupo oncológico y el grupo control se utilizó test de comparación de proporciones Chi-cuadrado, aplicando software MedCalc versión 18.10.2 (MedCalc Software Ltd., Seúl, República de Corea). El Odds ratio se calculó mediante el mismo software.
Aspectos éticos
Los autores contamos con la aprobación del Comité de Ética de ambos centros involucrados en el estudio (Clínica Las Condes y Hospital San Juan de Dios). Además, obtuvimos el consentimiento informado de los pacientes y/o sujetos referidos en el artículo, o en su defecto la dispensa del Comité de Ética.
Resultados
Pacientes oncológicos
Del grupo oncológico se excluyó a 18 pacientes que presentaron tumores sincrónicos incidentales detectados por la tomografía por emisión de positrones/tomografía computarizada. Esto es, dos neoplasias coexistentes en distintos órganos del cuerpo. La población oncológica final correspondió a 1911 pacientes (mediana edad 63 años, rango 3 a 94 años, 55% hombres).
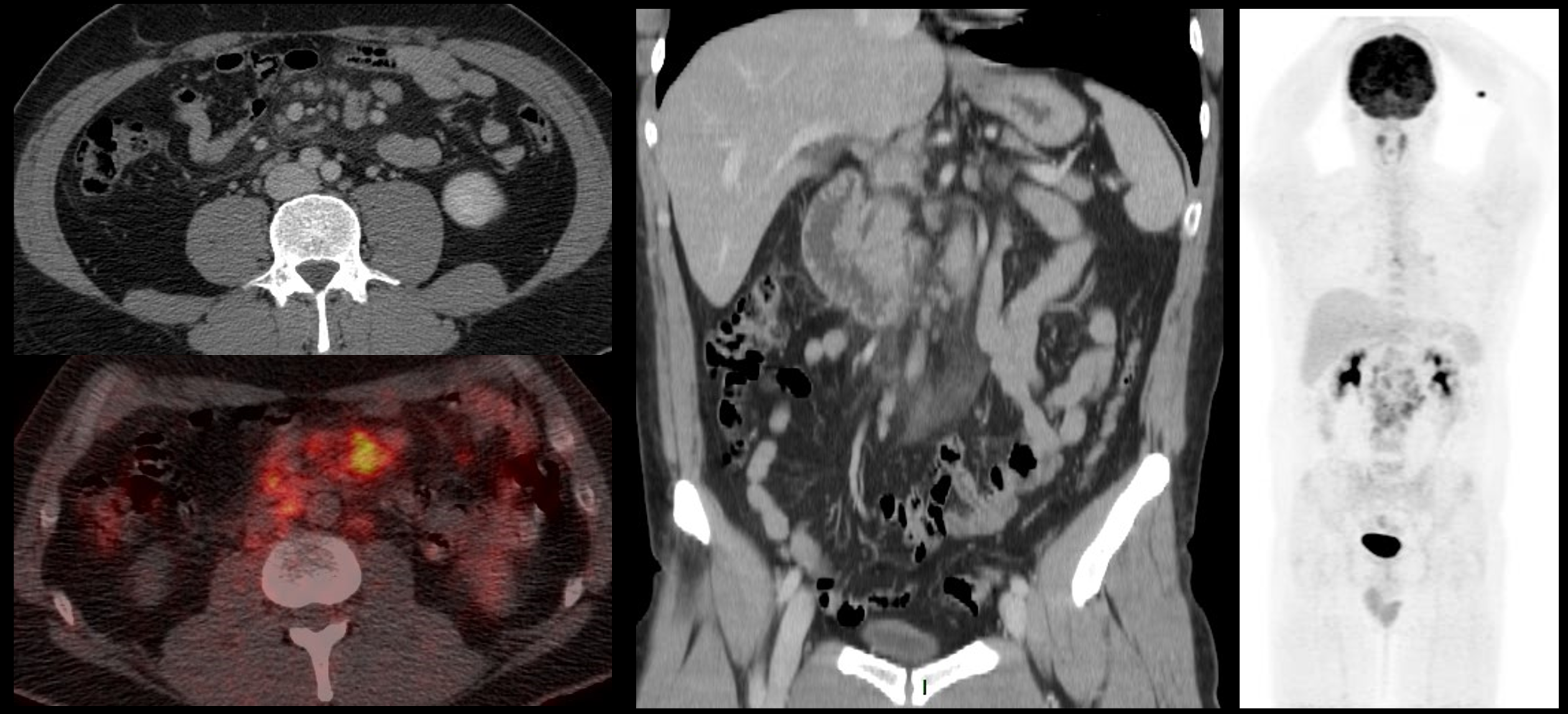
Después del análisis consensuado de los tres observadores en busca de paniculitis mesentérica, solo un caso no llegó a acuerdo. Se trató de un cáncer de próstata evaluado positivo por dos observadores y dudoso por un tercero, que se consideró finalmente con paniculitis mesentérica. La prevalencia de paniculitis mesentérica en el grupo oncológico fue de 5,2% (100/1911). La neoplasia con mayor frecuencia de esta patología fue el linfoma no Hodgkin con 16,1% (34/211), 56% de ellos de subtipo folicular. Uno de estos casos se muestra en la Figura 1.
Hombre de 42 años con LNH folicular grado I-II con Ki67: 20%.
A izquierda cortes axiales de la TC y fusión de las PET/CT muestran signos de paniculitis mesentérica con linfonodos hipercaptantes (SUVmax 7,3), de mayor actividad que el hígado (SUVmax 2,7). Imagen central muestra TC con aumento de densidad y volumen de la grasa mesentérica. Imagen derecha: MIP del PET que muestra solo compromiso mesentérico.

Fuente: preparado por los autores a partir de un caso incluido en la casuística.
Lo siguieron en frecuencia el adenocarcinoma de próstata con 12,8% (20/156), el mieloma múltiple con 6,9% (5/72); los carcinomas urotelial con 6,2% (4/65), de cabeza y cuello con 5,3% (6/114); el adenocarcinoma de páncreas con 5,2% (6/115), los sarcomas con 4,3% (2/46), y otros con 3% o menos de paniculitis mesentérica (ver Tabla 1).
Al agrupar los tipos de cáncer por frecuencia de paniculitis mesentérica, se conformaron arbitrariamente tres subgrupos: grupo oncológico I con frecuencia alta de paniculitis mesentérica (igual o superior a 10%), grupo oncológico II con frecuencia intermedia (igual o mayor a 4% pero inferior a 10%), y grupo oncológico III, con frecuencia baja (menor a 4%), como se muestra en la Tabla 1 y Figura 2.
Gráfico tipo
GO: grupo oncológico.

Algunos tipos de cáncer no presentaron paniculitis mesentérica, como el linfoma de Hodgkin, cáncer cervicouterino, cáncer de endometrio, cáncer de esófago, colangiocarcinoma, cáncer de vesícula, hepatocarcinoma, que fueron incluidos en el grupo de baja frecuencia de paniculitis mesentérica (grupo oncológico III).
Los únicos pacientes que mostraron hipercaptación de F18-FDG en la paniculitis mesentérica fueron aquellos con linfoma no Hodgkin. De hecho, la mitad de los pacientes con linfoma no Hodgkin que presentaron paniculitis mesentérica tenían nódulos/linfonodos con SUVmax igual o mayor al del hígado (SUVmax: 10,9 ± 8,6) dentro de la paniculitis mesentérica. En la otra mitad de los pacientes con linfoma no Hodgkin, y en todo el resto de la población oncológica, la paniculitis mesentérica no mostró captación significativa de FDG (SUVmax: 1,3 ± 0,7). La captación del hígado en el grupo total de pacientes fue de SUVmax 3,0 ± 0,8.
En la evaluación visual, la paniculitis mesentérica no mostró captación significativa de Ga68/F18-PSMA ni Ga68-DOTATATE en la población con cáncer de próstata y neoplasias neuroendocrinas, respectivamente.
Pacientes controles
Del grupo control, se excluyeron 8 pacientes en que la tomografía computarizada detectó alguna lesión tumoral sospechosa de cáncer (pulmonar, gástrico, colorrectal). La población “control” final correspondió a 1056 pacientes (mediana edad 45 años, rango 15 a 97 años, 72% hombres), de los cuales 6 presentaron paniculitis mesentérica (0,6%).
Comparación población oncológica versus control
Los pacientes con cáncer (n = 1911) presentaron una frecuencia mayor significativa (p < 0,0001) de paniculitis mesentérica que la población control (n = 1056) al utilizar test de comparación de proporciones (Chi-cuadrado).
El Odds ratio para la “exposición paniculitis mesentérica” de la población oncológica versus la población control fue de 9,6 (intervalo de confianza de 95% 4,2249 a 22,1015; p < 0,0001) como se muestra en la Tabla 2.
Discusión
En nuestro estudio encontramos una alta frecuencia de paniculitis mesentérica en ciertas neoplasias como el linfoma no Hodgkin y cáncer de próstata, junto con una baja frecuencia en otros tipos de cáncer, con una muestra depurada de pacientes oncológicos. En la muestra se tuvo especial cuidando de excluir causa postquirúrgica de la paniculitis mesentérica, y a pacientes con otras neoplasias sincrónicas y/o metacrónicas. La utilización del tomografía por emisión de positrones/tomografía computarizada en todos los casos oncológicos aumentaría la exactitud diagnóstica, al poder excluir pacientes con patología inflamatoria o cáncer sincrónico detectado incidentalmente.
La alta frecuencia de paniculitis mesentérica en linfoma no Hodgkin encontrada en nuestro estudio coincide completamente con la literatura, en especial con los hallazgos descritos por Ehrenpreis et al [16] y Scheer el al [11], particularmente en el claro predominio del subtipo histológico folicular. Por otra parte, el linfoma no Hodgkin fue la única neoplasia que mostró hipercaptación significativa de FDG en los ganglios dentro de la paniculitis mesentérica. Esto aumentaría aún más la sospecha diagnóstica de linfoma no Hodgkin en caso de paniculitis mesentérica hipercaptante.
La alta prevalencia de paniculitis mesentérica en el cáncer de próstata no corre la misma suerte, ya que su relación con dicha patología ha sido mencionada solo por algunos pocos autores [7,18]. Sin embargo, en los artículos revisados no se menciona si a los pacientes con paniculitis mesentérica se les hizo algún tipo de tamizaje dirigido en su detección.
El hecho de afirmar que un paciente con paniculitis mesentérica no tiene una neoplasia coexistente merece análisis aparte, ya que requeriría algo más que la tomografía computarizada para asegurarlo. Dado que sabemos que el linfoma no Hodgkin y el cáncer de próstata son las neoplasias que más se asociaron a paniculitis mesentérica en esta muestra, debemos admitir que ambas son de difícil diagnóstico por tomografía computarizada. El cáncer de próstata suele ser invisible a la tomografía computarizada [18], y para su diagnóstico por imagen se requiere exámenes específicos como la resonancia magnética prostática y tomografía por emisión de positrones/tomografía computarizada con PSMA [19], además de exámenes sanguíneos como el antígeno prostático específico de membrana. Igual pasa con el compromiso linfomatoso extraganglionar, especialmente el de médula ósea, de alta frecuencia en el linfoma no Hodgkin, que solo es detectable con resonancia magnética de médula ósea o tomografía por emisión de positrones/tomografía computarizada 18F-FDG [20]. Es decir, con tomografía computarizada podemos ver la paniculitis mesentérica del paciente, sin capacidad cierta de descartar estas neoplasias coexistentes. Lo mismo puede ocurrir con carcinomas pequeños de cabeza y cuello y del tracto intestinal. La baja capacidad de la técnica de tomografía computarizada respecto a la PET/CT en la detección de estas neoplasias puede constituir un sesgo tecnológico de publicaciones previas. A la vez, corresponde a una ventaja comparativa de nuestro estudio.
Un aspecto a destacar es que en nuestra casuística la ocurrencia de cáncer colorrectal en población con paniculitis mesentérica fue bastante baja. Este hallazgo es discordante con la literatura donde esta neoplasia figura en los primeros lugares [8,9,10].
Una mención aparte merece la baja frecuencia de paniculitis mesentérica en cánceres femeninos encontrados en esta muestra, coincidiendo parcialmente con la literatura [11,16]. Esta baja ocurrencia de paniculitis mesentérica parece ser clara para neoplasias como la mama que cuenta con suficiente tamaño muestral (185 individuos), pero debe matizarse en casos con muestras más pequeñas: cáncer de ovario (46 pacientes), de endometrio (48 paciente) y cervicouterino (47 pacientes).
La prevalencia de paniculitis mesentérica en el grupo control de nuestra casuística fue de 0,6%, similar a lo descrito por Daskalogiannaki et al [6] y Gögebakan et al [8], lo que confirma que se trata de una condición poco frecuente. Dado que al parecer resulta especialmente difícil estimar la frecuencia de paniculitis mesentérica en este grupo específico, se trató de depurar lo más posible la muestra y no incluir pacientes que tuvieran patología oncológica conocida ni cirugías abdominales recientes. La inclusión solo de pacientes que consultaban por trauma, y la verificación de los antecedentes oncológicos de los pacientes apuntó en ese sentido.
Queda pendiente una comparación de los pacientes oncológicos contra una población control pareada. Esto no fue posible de efectuar dado la menor casuística comparativa de casos controles, y la gran heterogeneidad en género y edad respecto a la población oncológica, bastante más añosa y con franca mayor proporción de población femenina que en el grupo control.
Una limitación de nuestro estudio es su carácter retrospectivo, propio de los estudios transversales. Sin embargo, el relativo alto número de pacientes oncológicos analizados garantiza una adecuada validez de los resultados. Otra desventaja es el potencial sesgo diagnóstico que implica que los evaluadores conozcan la naturaleza oncológica o no oncológica de la población, antes de evaluar la existencia de paniculitis mesentérica. Dado el diseño del estudio esto es difícil de evitar. Sin embargo, el carácter consensuado de tres observadores expertos en todos los casos evitaría en parte este problema. Existe también un potencial sesgo de selección en el grupo oncológico, solo por el hecho de haberse efectuado a todos ellos una PET/CT. Este examen tiene sus indicaciones y, en teoría, no se le practica transversalmente a todo paciente con cáncer.
La asociación entre paniculitis mesentérica y dolor abdominal no fue evaluada en este trabajo, ya que obtener este dato requeriría probablemente un estudio de diseño prospectivo que permita aplicar una encuesta al paciente, contemporánea a la realización del examen de imagen.
Al elegir la población “control” quisimos evitar al máximo los sesgos de selección, causa probable de una sobre estimación de la paniculitis mesentérica al incluir población oncológica no conocida (o conocida y no considerada). Para esto, solo incluimos pacientes que se realizaron tomografías computarizadas por traumatismo, al mismo tiempo que revisamos en sus antecedentes clínicos para asegurar ausencia de neoplasia antigua tratada o reciente en tratamiento. Esto constituye una ventaja de nuestro estudio respecto a otras publicaciones sobre el tema. Sin embargo, debe tenerse presente que aun teniendo en cuenta estos resguardos, no se puede asegurar que este grupo represente estrictamente a una población control.
Otra ventaja es la aplicación del Odds ratio, que es poco utilizado en la literatura que analiza la asociación entre paniculitis mesentérica y cáncer. Este estimador cuantifica y hace más objetivo nuestro resultado. Un Odds ratio de 9,6 se puede interpretar como que las probabilidades (odds) de tener cáncer, en comparación con no tenerlo, son 9,6 veces las observadas en pacientes sin paniculitis mesentérica. Sin embargo, se debe aclarar que la utilización de Odds ratio en nuestro estudio transversal se refiere a una medida de razón de prevalencias en este contexto (transversal), no de riesgo relativo a futuro.
Conclusiones
La paniculitis mesentérica es una entidad rara en población sana, y de frecuencia variable en pacientes con cáncer, siendo más frecuente en unas neoplasias que en otras. Las malignidades que más se asociaron a esta patología en nuestra muestra fueron el linfoma no Hodgkin y cáncer de próstata. Además, una paniculitis mesentérica con avidez de captación de F18-FDG sería bastante sugerente de linfoma no Hodgkin. Por otro lado, un número importantes de tipos de cáncer no mostró una clara asociación con paniculitis mesentérica, aunque en varios grupos neoplásicos se debe aumentar el tamaño muestral para asegurar esto. Idealmente, ello se debe realizar mediante un estudio comparativo contra un grupo control pareado.
Asimismo, la paniculitis mesentérica podría constituir un “marcador” de pesquisa de ciertas neoplasias. Además, el hallazgo incidental de esta entidad debiera requerir un esfuerzo razonable y prudente para descartar ciertas malignidades, llevando a cabo una búsqueda dirigida y acotada de las neoplasias específicas que más se asocian a ella.
Se necesitará a futuro de un estudio prospectivo de seguimiento de pacientes con paniculitis mesentérica para conocer su real implicancia en el desarrollo de neoplasias, y para medir el riesgo relativo de su aparición. Esto queda planteado como idea para nuevas investigaciones en esta línea.